Diagnose heart conditions
Procedure
Coronary Angiography with Dr Sayan Sen

Procedure at a glance
Expected results:
Treatment time:
30-60 minutes
Anaesthetic:
Local anaesthetic
Downtime:
24-48 hours
Longevity:
Long-lasting results
Expected results:
Diagnose heart conditions
Treatment time:
30-60 minutes
Anaesthetic:
Local anaesthetic
Downtime:
24-48 hours
Longevity:
Long-lasting results
At my London clinics I carry out coronary angiography to accurately diagnose heart conditions, assess blocked arteries, and guide personalised treatment plans.
What is Coronary Angiography?
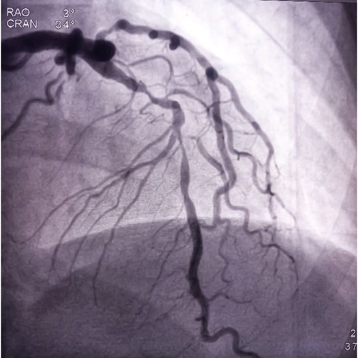
Coronary angiography is a gold-standard test used to visualise the heart’s arteries and detect blockages or narrowing. As a leading consultant cardiologist and internationally recognised expert in coronary physiology, I use advanced techniques to deliver accurate, minimally invasive diagnosis.
During the procedure, a thin catheter is inserted into the wrist or groin and guided to the heart. Contrast dye is injected, and X-ray images reveal the condition of the coronary arteries. This procedure helps determine the best treatment – such as stenting or bypass surgery. Performed under local anaesthetic, most patients return home the same day.
With every Coronary Angiography I ensure expert, personalised cardiac care.
When Might You Need Angiography?
This test is performed when signs suggest restricted blood flow to your heart, helping to confirm or rule out coronary artery disease. Symptoms to look out for include:
- Persistent chest pain: Identifies whether chest discomfort is caused by restricted blood flow through the coronary arteries.
- Shortness of breath: Assesses whether breathlessness may be linked to underlying coronary heart disease or reduced cardiac function.
- Abnormal ECG results: Provides detailed imaging after irregular electrocardiogram findings to guide accurate diagnosis and next steps.
- Previous heart attack: Evaluates arterial damage and identifies any further
What to Expect Following Coronary Angiography
After your angiography, you’ll rest while nursing staff monitor your recovery. Most patients can go home the same day, though you’ll need someone to accompany you. It’s normal to feel a little tired or notice mild bruising near the catheter entry site.
As your cardiologist, I will explain your results clearly and recommend any follow-up treatment or lifestyle changes based on your coronary images. If narrowing or blockages are found, further treatment – such as angioplasty or medication – may be advised. You’ll receive a full aftercare plan and have the opportunity to ask any questions. Returning to normal activities is usually possible within 24-48 hours.
FAQs
Is coronary angiography safe with Dr Sen?
Dr Sen has extensive experience performing angiography safely using the latest techniques to minimise risk and recovery time.
How long does an angiogram take?
Most procedures take 30-60 minutes, followed by a short monitoring period before you go home the same day.
Will I be awake during the angiography?
You’ll be given local anaesthetic, which means you will be awake during the procedure but won’t be in any significant discomfort. In some cases we also administer light sedation to ensure comfort throughout the procedure.